肝病相关研究
动脉粥样硬化疾病探究
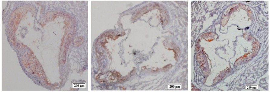
针对动脉粥样硬化疾病的研究,研究中心以 Apoer基因敲除小鼠 为动物模型,开展系统性实验探究。实验内容涵盖主动脉大体标本的剥离与油红 0 染色,以直观呈现血管内脂质沉积情况;同时进行主动脉实部冰冻切片的制备,并对切片实施油红 0 染色、HE 染色及免疫荧光染色,从组织形态、细胞结构及分子表达层面深入解析病变特征。

主动脉大体油红 0 染色:小鼠主动脉大体剥离完整取材(保留胸至腹主动脉),经固定、平铺后,通过油红0染色(脂质特异性着色)直观显示动脉内膜面红色脂质斑块,用于快速评估动脉粥样硬化模型的病变程度。

冰冻切片油红 0 染色:小鼠主动脉窦部冰冻切片制作需取心脏基部窦部组织经 OCT 包埋后液氮速冻,以10~15um厚度切片并贴于载玻片;油红0染色时先以丙酮固定,再用脂溶性染料染色,分化后可见红色脂质斑块(如粥样硬化病变),苏木素复染核,用于微观层面评估窦部脂质沉积程度。

肥胖相关研究

(棕色脂(腹股沟白色脂肪组SWAT(皮下白色脂肪组织)和 BATgWAT织)切成 5~10um 切片,依肪组织)的 H&E 染色:取者才后经甲醛固定、石蜡包埋次进行苏木精染核、伊红染胞质,脱水透明后封片;镜7可见 gWAT 与 sWAT的白色脂肪细胞呈单房大脂滴(脂滴因制片溶解呈空泡壮细胞核被挤压至细呈多房性小脂滴,细胞胞边缘,细胞排列疏松;BAT的棕色脂肪细胞体积较小质丰富且嗜碱性强,细胞核居中,组织中血管及线粒体(形态上呈嗜酸性颗粒)分布更密集,可通过细胞形态差异鉴别三种脂肪组织的乡5构特征。

脂肪细胞油红 0 染色:通过固定细胞、染色、洗去多余染料等步骤,使脂肪细胞内脂滴呈现鲜艳的红色或橙红色。该方法可直观显示脂肪细胞内脂质蓄积状态常用于肥胖、代谢性疾病等研究中,帮助观察脂肪细胞形态、脂滴大小及含量变化,为脂质代谢机制探究提供直观的形态学依据。

FITC-Dextran(异硫氰酸荧光素葡聚糖):将 FITC-Dextran 溶液经静脉注射入实验动物体内,因其能留存于血管内(不轻易渗漏到血管外正常组织,除非它随血液循环分布至全身血管血管通透性异常),可标记血管网络。在荧光显微镜下,血管区:或因 FITC 的绿色荧光而显析软件,可定量分析荧光强现,血管密度高的区域荧光信一更密集、强度更高。借助图像分度、血管分支数量及面积等参类文,从而客观评估血管密度。该方法通过荧光标记直观呈现血管分布,为研究血管生成(如)中瘤血管新生、组织修复血管形成)、血管通透性改变等提供了便捷的形态学量化手段,之应用于肿瘤学、再生医学等领域。
